Tooth Abscess Pain Relief & Dental Treatment, Duarte CA

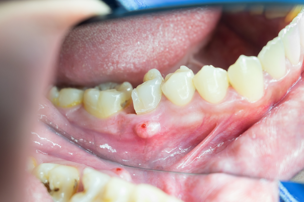
Infected teeth are caused by bacteria penetrating through your tooth enamel and dentin into the pulp space to cause an abscess (pulpitis), such that pus begins to collect within. It can also occur when bacteria gets trapped in deep gum pockets. This results in a number of unpleasant symptoms, including:

  • Throbbing pain in the tooth
  • Pain in the surrounding areas, such as the ear, lower jaw, and neck
  • Soreness of infected tooth and surrounding area when biting 
  • Pain in the teeth when consuming hot or cold foods and drinks
  • Bad taste in your mouth
  • Fever and general feeling of being unwell
  • Difficulty opening your mouth and swallowing

Types of tooth abscesses

If you suspect that you have a tooth infection, it is often best to visit your dentist immediately for diagnosis and/or emergency treatment.Your dentist may discover one of two types of tooth infections:

  • Periapical abscess – It is the most common type of tooth infection. It happens when bacteria enters the enamel and begins to eat away at it, reaching the pulp inside the tooth. A bacterial infection in the tooth pulp causes pus to form around the root of the tooth, enlarging it.
  • Periodontal abscess – This type of abscess is the result of untreated gum disease. The infected gum tissue becomes inflamed and begins to migrate away from the tooth, creating a space that is difficult to clean. Ultimately, a pocket of pus forms at the side of the tooth root to form a periodontal abscess.

Treatment options

Dental abscesses are often treated by removing the pus and resolving the infection. Additional treatments may include:

  • Over-the-counter medication to help with the pain
  • Antibiotics are used to stop the spread of infections.
  • Root canal therapy and then capped with a dental crown to strengthen it
  • Tooth extraction and replacement with a partial denture, bridgework, or dental implant. 

Please visit your dentist for proper diagnosis and treatment.